| Kutanes Platten­epithel­karzinom

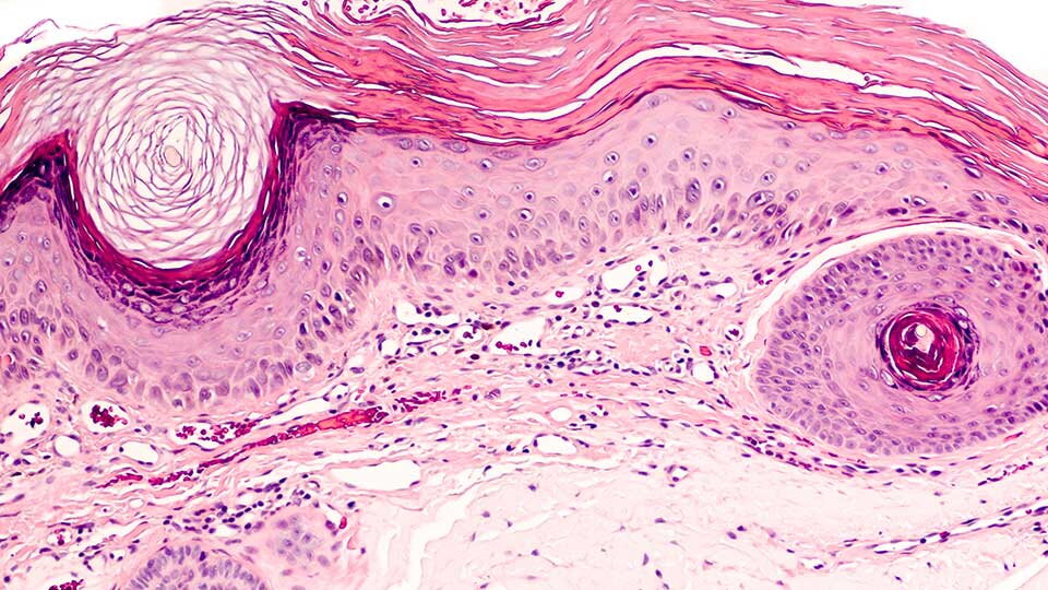
Kutanes PEK: Genomische Progression aus Präkanzerosen

Fazit

Die Autorinnen und Autoren gehen davon aus, dass sich in sonnengeschädigter Haut, aktinischen Keratosen und In-Situ-Karzinomen Stamm-Driver-Mutationen (z. B. NOTCH1 oder TP53) ereignen, die eine parallele oder lineare Progression zu einem Plattenepithelkarzinom begünstigen. Im Laufe dieser Evolution kommen dann offenbar weitere genomische Alterationen (z. B. TP53, PIK3CA, FBXW7, CDKN2A, MYK-Kopienzahlzunahme) hinzu.

Zurück zur Übersicht

Bepanthen® Pflichttext

Bepanthen® Pflichttext

Bepanthe® ANTISEPTISCHE WUNDCREME

Wirkstoffe: Dexpanthenol und Chlorhexidinbis(D-gluconat)

Bepanthen® AUGEN- UND NASENSALBE, Bepanthen® LÖSUNG, Bepanthen® WUND- UND HEILSALBE

Wirkstoff: Dexpanthenol

Zusammensetzung:

Bepanthen® ANTISEPTISCHE WUNDCREME:

1g Creme enthält als Wirkstoffe: 5 mg Chlorhexidinbis (D-gluconat), 50 mg Dexpanthenol. Sonstige Bestandteile: Macrogolstearat 1500; Glycerolmonostearat 40-55; Cetomacrogol 1000; Dickflüssiges Paraffin; Cetylstearylalkohol (Ph. Eur.); Dimeticon 1000; Glycerol 85%; Hartparaffin; Hyetellose; Gereinigtes Wasser.

Bepanthen® Augen- und Nasensalbe:

1 g Salbe enthält als Wirkstoff: 50 mg Dexpanthenol. Sonstige Bestandteile: rac-(3R)-3-Hydroxy-4,4-dimethyloxolan-2-on; Wollwachs; Dickflüssiges Paraffin; Weißes Vaselin; Gereinigtes Wasser.

Die Bepanthen® Augen- und Nasensalbe enthält keine Konservierungs-, Farb- oder Duftstoffe.

Bepanthen® LÖSUNG:

1 ml Lösung enthält als Wirkstoff: 50 mg Dexpanthenol. Sonstige Bestandteile: Natriumbenzoat; Methyl(4-hydroxybenzoat); Propyl(4-hydroxybenzoat); (3R)-3-Hydroxy-4,4-dimethyloxolan-2-on; Gereinigtes Wasser.

Bepanthen® Wund- und Heilsalbe:

1 g Salbe enthält als Wirkstoff: 50 mg Dexpanthenol. Sonstige Bestandteile: Gebleichtes Wachs; Dickflüssiges Paraffin; Dünnflüssiges Paraffin-Weißes Vaselin-Ceresin-Glycerolmonooleate (veg.)-Wollwachsalkohole-Gemisch (Protegin X); Gereinigtes Wasser; Cetylalkohol (Ph.Eur.); Mandelöl; Stearylalkohol (Ph.Eur.); Weißes Vaselin; Wollwachs.

Anwendungsgebiete:

Bepanthen® ANTISEPTISCHE WUNDCREME:

Zur antiseptischen Behandlung von oberflächlichen Wunden; Schürf-, Riss-, Platz- und Kratzwunden.

Bepanthen® Augen- und Nasensalbe:

Zur Unterstützung der Heilung bei oberflächlichen leichten Hautschädigungen an der Hornhaut, Bindehaut bzw. Nasenschleimhaut.

Bepanthen® LÖSUNG:

Zur Unterstützung der Heilung von Haut- und Schleimhautläsionen verschiedener Ätiologie.

Bepanthen® Wund- und Heilsalbe:

Zur Unterstützung der Heilung bei oberflächlichen leichten Haut- und Schleimhautschädigungen.

 

Gegenanzeigen:

Bepanthen® ANTISEPTISCHE WUNDCREME darf nicht angewendet werden bei Überempfindlichkeit gegen Chlorhexidin, Dexpanthenol oder einen der sonstigen Bestandteile.

Das Arzneimittel darf nicht angewendet werden bei tiefen oder sezernierenden Wunden, Ulcus cruris und unter Verwendung eines Okklusivverbandes.

Kontakt mit Auge, Ohr und Schleimhaut ist zu vermeiden.

Bepanthen® Augen- und Nasensalbe; Bepanthen® Lösung; Bepanthen® Wund- und Heilsalbe darf nicht angewendet werden bei Überempfindlichkeit gegen Dexpanthenol oder einen der sonstigen Bestandteile.

Für Bepanthen® LÖSUNG zusätzlich:

Überempfindlichkeit gegen Methyl-4-hydroxybenzoat oder Propyl-4-hydroxybenzoat.

Nebenwirkungen:

Bepanthen® ANTISEPTISCHE WUNDCREME; Bepanthen® Augen- und Nasensalbe; Bepanthen® LÖSUNG; Bepanthen® Wund- und Heilsalbe:

Erkrankungen des Immunsystems und Erkrankungen der Haut und des Unterhautzellgewebes:

Allergischen Hautreaktionen wie z.B. Kontaktdermatitis, allergische Dermatitis, Juckreiz, Rötung, Ekzem, Ausschlag, Nesselsucht, Hautreizung und Bläschen.

Für Bepanthen® ANTISEPTISCHE WUNDCREME zusätzlich:

Erkrankungen des Immunsystems und Erkrankungen der Haut und des Unterhautzellgewebes:

Überempfindlichkeit, anaphylaktische Reaktion und anaphylaktischer Schock (potentiell lebensbedrohlich) mit entsprechenden Manifestationen bzgl. Labor und Klinik einschließlich Asthma Syndrom, leichte bis mittelschwere Reaktionen, die potentiell Haut, Atemwege, Magen-Darm-Trakt und Herz-Kreislauf-System beeinflussen, einschließlich Symptomen wie z.B. Ausschlag, Nesselsucht, Ödeme, Juckreiz, Herz- und Atembeschwerden.

Für Bepanthen® LÖSUNG zusätzlich:

Methyl-4-hydroxybenzoat und Propyl-4-hydroxybenzoat können Überempfindlichkeitsreaktionen, auch Spätreaktionen, hervorrufen.

Auswirkungen auf Kraftfahrer und die Bedienung von Maschinen:

Bepanthen® Augen- und Nasensalbe: Bei Anwendung am Auge ist kurzfristig eine leichte Sehbeeinträchtigung möglich.

Hinweise:

Bepanthen® ANTISEPTISCHE WUNDCREME:

Enthält Cetylstearylalkohol. Bitte Packungsbeilage beachten. Kontakt mit Auge, Ohr und Schleimhaut ist zu vermeiden.

Bepanthen® Augen- und Nasensalbe:

Enthält Wollwachs. Bitte Packungsbeilage beachten.

Bepanthen® LÖSUNG:

Enthält Natriumbenzoat, Methyl(4-hydroxybenzoat), Propyl(4-hydroxybenzoat). Bitte Packungsbeilage beachten. Kontakt mit den Augen vermeiden.

Bepanthen® Wund- und Heilsalbe:

Enthält Wollwachs, Stearylalkohol und Cetylalkohol. Packungsbeilage beachten. Kontakt mit den Augen vermeiden.

Bayer Vital GmbH, 51368 Leverkusen, Deutschland

Stand: 03/2024

Navigation Schließen Suche E-Mail Telefon Kontakt Pfeil nach unten Pfeil nach oben Pfeil nach links Pfeil nach rechts Standort Download Externer Link Startseite Geschützt